Inside the Harvard Medical School – Electron Microscopy Core Lab

From left to right: Lucy Gordon, Anja Nordstrom, Maria Ericsson, Louise Trakimas, Abert Tian Chen
From left to right: Lucy Gordon, Anja Nordstrom, Maria Ericsson, Louise Trakimas, Albert Tian Chen

Advancing Biological Research Discovery at Harvard Medical School

At the forefront of biological research, answers to fundamental questions lie beyond what can be seen using conventional light microscopy. Visualizing cells, tissues, and biological features at the ultrastructural level is critical for understanding disease mechanisms and uncovering new biological breakthroughs.
At Harvard Medical School, these insights are made possible in the Conventional Electron Microscopy (EM) Core Facility: a fee-for-service core facility for transmission and scanning electron microscopy. Researchers are supported with training, instrumentation, and dedicated sample preparation techniques. Spanning all Harvard departments, the facility also supports a wider user base: the Harvard T.H. Chan School of Public Health, and the Longwood Medical Area academic institutions (Brigham and Women’s Hospital, Dana-Farber Cancer Institute, Joslin Diabetes Center, Beth Israel Deaconess Medical Center). Users include researchers from greater Boston academic institutions, including Tufts, MIT, the Broad Institute, MGH, the Ragon Institute, and numerous pharmaceutical companies.
From neuroscience and neurodegeneration to infectious disease, muscle and metabolic disorders, and protein structure analysis, the facility enables researchers to observe biology at high-resolution, in structural context, and with clarity that can inform discovery.

A Facility Built on Accessibility and Expertise

The HMS-EM Core was established in 1995 by the Neurobiology, Microbiology, and Cell Biology departments with a clear goal: to make electron microscopy accessible to the broad research community. Housed on the third floor of the Goldenson building, the Core has steadily grown over the past three decades – expanding its instrumentation, workflows, and service model to meet research needs.

The Team Behind the Core Facility

At the center of the HMS-EM Core is a highly experienced staff whose expertise shapes projects that move through the facility.
Lucy Gordon, Louise Trakimas, and Maria Ericsson
Lucy Gordon, Louise Trakimas, and Maria Ericsson
Maria Ericsson, B.S., Director of the HMS Electron Microscopy Core, has led the facility since its founding. Trained in chemistry and electron microscopy, Maria has spent her career building an infrastructure that allows researchers to succeed. Supporting Maria are two research assistants at the EM Core, Anja Nordstrom and Louise Trakimas. Together, the team supports a diverse user base of multiple Harvard departments, affiliated hospitals, external academic institutions, and industry researchers.
Louise Trakimas discussing biological sample-preparation technique
Louise Trakimas discussing biological sample-preparation technique
Biological samples from the HMS-EM Core
Biological samples from the HMS-EM Core
Maria Ericsson discussing the structure of the brain
Maria Ericsson discussing the structure of the brain
“One of the most rewarding parts of working in a core facility,” Anja shares, “is training new users—particularly when someone uses an electron microscope for the first time. Seeing their excitement and sense of wonder when they view their samples at such a high level of detail is always a memorable experience.” The emphasis on training, collaboration, and problem-solving defines the culture of the Core Facility.

The JEM-120i at the HMS Electron Microscopy Core

Lucy Gordon inserting sample holder into the JEM-120i
Lucy Gordon inserting sample holder into the JEM-120i
Central to the EM Core’s ability to support this wide research community is the reliable and accessible transmission electron microscope: the JEM-120i.
Installed in 2025 and equipped with an AMT NanoSprint 15MP-MkII camera, the 120kV TEM was selected to serve as the Core’s primary system for conventional biological TEM because of “JEOL’s outstanding service and support”, Maria shares. “Their engineers are consistently quick to respond to issues and resolve problems efficiently. Their responsiveness and reliability have been extremely valuable to the facility over the years.”
Lucy Gordon, Louise Trakimas, and Maria Ericsson
Lucy Gordon, Louise Trakimas, and Maria Ericsson
Designed with a smaller footprint and for ease-of-use, the JEM-120i’s intuitive interface and automated workflows lower the barrier to entry for new users, while its imaging stability and contrast deliver the consistency required for biological research.
“The JEM-120i is a highly user-friendly instrument. Its accessibility and ease of operation allow researchers to become productive quickly. The system also offers potential for future expansion, including capabilities such as serial EM and selected area electron diffraction, which could broaden the services we provide” shares Maria. “The intuitive design makes training and onboarding new users efficient and straightforward. Having an additional reliable TEM also increases overall access to imaging time, helping us better meet user demand and reduce bottlenecks”.

Featured Research: Understanding the Blood-Brain Barrier

Among the many researchers relying on the HMS-EM Core are Albert Tian Chen and Dr. Lucy Gordon, members of the Harvard Neurobiology Department’s Gu Lab, whose work centers on one of the brain’s most critical protective systems: the blood-brain barrier (BBB).
Lucy Gordon, Anja Nordstrom, and Albert Tian Chen
Lucy Gordon, Anja Nordstrom, and Albert Tian Chen

Albert Tian Chen – Graduate Researcher, Neurobiology Gu Lab

Albert Tian Chen – Graduate Researcher, Neurobiology Gu Lab
Albert’s research aims to answer a foundational question: What do blood vessels look like, and can their form reveal their function?
“In the late 1960s, electron microscopists observing brain endothelial cells discovered some key features of the BBB, but many mysteries remain, as microscopists relied on chemical fixation, which warps and distorts cells, and 2D images, which provided limited context” Albert shares.
The BBB is formed by brain endothelial cells, tasked with maintaining the integrity of the blood-brain barrier. As Albert noted, many mysteries remain regarding these cells. Recent advances in both tissue cryopreservation and 3D electron microscopy enable unprecedented characterization of brain endothelial cell morphology- in their native form and with full cellular context. Understanding how the brain endothelial cells form and maintain the BBB may help in optimizing drug design that crosses into the brain or treat diseases that involve breakdown of the BBB, such as Alzheimer’s.
Over the past two years, Albert has been optimizing a sample cryopreservation protocol, centered around high pressure freezing (HPF). Success with HPF required collecting hundreds of samples, and screening to find the best candidate for 3D electron microscopy imaging. This is where the JEM-120i became essential.
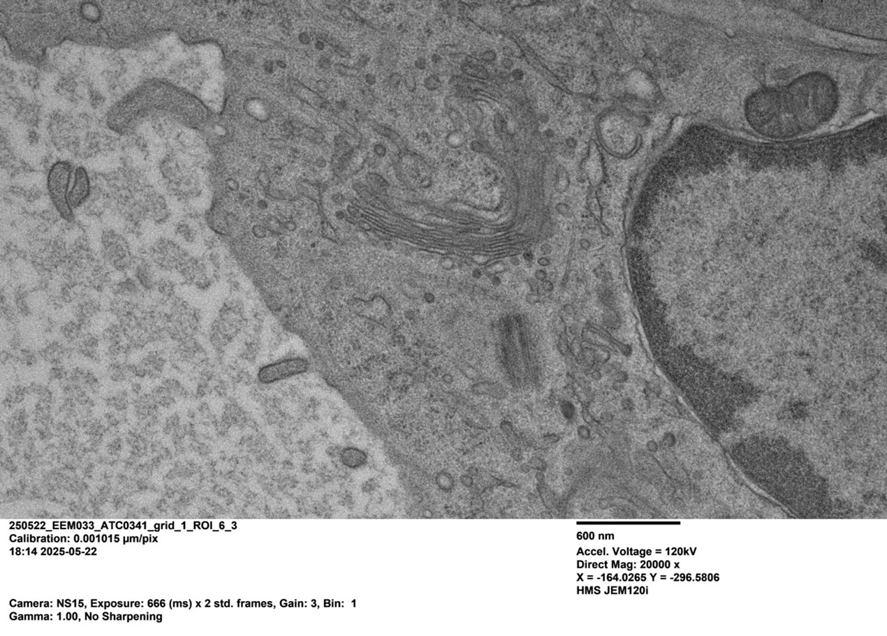
Albert’s cryopreserved brain endothelial cell, imaged with the JEM-120i
Albert’s cryopreserved brain endothelial cell, imaged with the JEM-120i
Pictured: The nucleus, half of the centrosome (one centriole), the Golgi, ER, a mitochondrion, and microtubules
“The JEM-120i enabled us to screen these hundreds of samples in just under a few months,” Albert explains. “Fast sample exchanges, streamlined interface, and software control allows me to quickly survey the quality of a sample in about half the time it would take me on the old scope.” By rapidly identifying the best samples, Albert was able to select the optimal candidates to send for FIB-SEM: “We’re seeing some really interesting features of tight junctions - cell-cell junctions between neighboring endothelial cells which prevent diffusion of molecules from the blood to the brain.”

Lucy Gordon, Ph.D. – Postdoctoral Researcher, Neurobiology Gu Lab

Lucy Gordon, Ph.D. – Postdoctoral Researcher, Neurobiology Gu Lab
For Lucy Gordon, electron microscopy is where her hypotheses meet reality.
Lucy’s research focuses on understanding how the BBB maintains, and sometimes loses, its integrity at the cellular and subcellular levels: “I study how endothelial cells regulate vesicle trafficking and membrane dynamics, and how these processes affect BBB function in health and disease.” To do this, Lucy combines molecular genetics, in vivo mouse models, and advanced imaging approaches to visualize endothelial structures at a high resolution.
Using the JEM-120i, Lucy can observe ultrastructural features at a level of clarity and confidence to interpret what is occurring at the cellular and subcellular levels. “The JEM-120i is incredibly reliable for rapid screening and high-contrast visualization of endothelial ultrastructure” Lucy explains. “For me, the greatest strength is clarity: tight junctions, vesicles, basement membrane contours – everything is crisp, clean, and interpretable.” The importance of these images? “Every image carries the possibility of changing how we think about the BBB.”
The best part of the process? Visualizing how the BBB becomes dysfunctional. For Lucy, these moments are unforgettable: “A disrupted junction, an unexpected vesicle population, or a membrane that suddenly tells a different story. It feels like witnessing biology reveal its secrets in real time.”
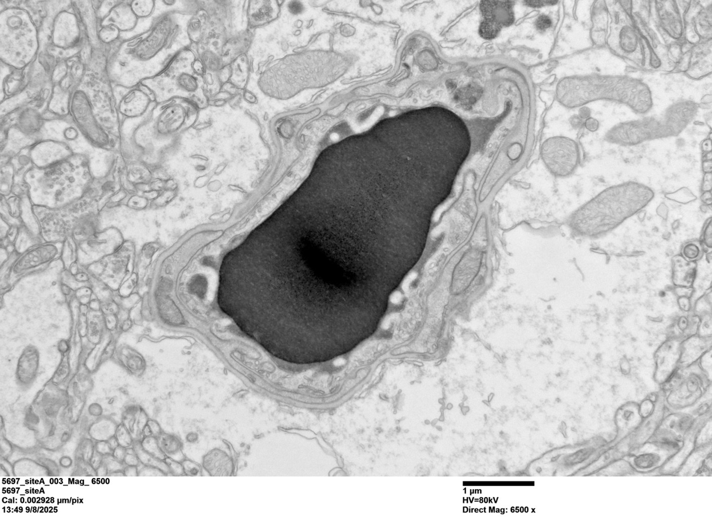
Lucy’s TEM Image of a Cortical Capillary from a WT mouse brain, imaged with the JEM-120i
Lucy’s TEM Image of a Cortical Capillary from a WT mouse brain, imaged with the JEM-120i
Pictured: The capillary lumen contains a red blood cell (darker signal) that is surrounded by an electron-dense tracer. The endothelial cell forms a very thin barrier around the lumen and is enclosed by the basement membrane, with pericyte processes embedded within it. The entire vessel is surrounded by astrocytic endfeet, visible as a lighter, translucent layer. Notably, the tracer is halted at the endothelial tight junction (right side of the endothelial cell) and does not penetrate the basement membrane, illustrating an intact and functional blood–brain barrier.
Lucy shares the skills she has gained from her experience on the instrumentation, “Working extensively with the JEM-120i has deepened my understanding of sample preparation, tissue ultrastructure, and imaging-based data interpretation.”

Looking Ahead

While many emerging imaging techniques are gaining traction, demand for high-quality conventional TEM remains strong in basic research. With a dedicated staff, collaborative service model, and cutting-edge instrumentation like the JEM-120i, the HMS Electron Microscopy Core continues to support researchers, revealing structures that define biology, one discovery at a time.
© Copyright 2026 by JEOL USA, Inc.
Terms of Use
|
Privacy Policy
|
Cookie Preferences